Congratulations! You managed to get through Elvis, The Beatles, Woodstock,
Viet Nam, Y2K, and made it to American Idol. Now you have to keep looking
and feeling good.
You know that everything, including shoes and automobile tires wears out.
You know that even big cavities, like high blood pressure and clogged arteries that cause heart attacks and strokes, are SILENT and do not give warning signs.
Dental Care of Stamford has the newest technology to evaluate your teeth. Call today for an exam and necessary x-rays for just $114* (regularly $159)
*cannot be combined with other offers.
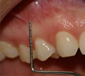
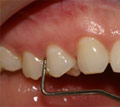
Measuring probe shows severe infection and bone loss under the gum line that did not hurt.
Uncontrolled bacteria and gum inflammation in the mouth travels throughout the body.
Cosmetic dental treatment can take years off your face.
Massive decay results underneath that usually does NOT appear in x-rays and does NOT hurt. Unless you use a magnifying camera to see the tell tale cracks and openings that CANNOT be felt with a dental probe, your tooth will rot and you will not know until it abscesses or breaks off. If you have old fillings, you are at risk for root canals and broken teeth; click here for more information.
Gum disease causes the bone to dissolve under the gum line. It does NOT hurt and may not show up in x-rays. Unless the hygienist carefully measures with a probe EVERY check-up, you could develop silent bone loss that can cause tooth loss. Adults with gum disease need different treatments than just twice a year cleanings. Click here to learn more about this important health issue.
The newest medical research proves a direct link between gum inflammation and heart attacks, strokes, diabetes, and some forms of cancer. Uncontrolled bacteria and gum inflammation in the mouth travels throughout the body resulting in greater risk of heart attacks and strokes. Click here to learn more about this silent killer.
We do want to get older; we just do not want to look older. While baby boomers are getting face lifts, eye jobs and filling their faces with fillers and Botox that wear off in just a few months, they are often ignoring the most obvious sign of aging; worn and yellow teeth. Click here for more information about to get younger looking teeth.